良性前列腺增生症的诊断及治疗
良性前列腺增生(BPH),也称前列腺增生,是前列腺大小的非癌性增加。[1]症状可能包括尿频,开始排尿困难,流量不足,无法排尿或膀胱失控。[1]并发症可能包括尿路感染,膀胱结石和慢性肾脏问题。[2]
原因尚不清楚。[1]风险因素包括家族史,肥胖,2型糖尿病,运动不足和勃起功能障碍。[1]伪麻黄碱,抗胆碱能药和钙通道阻滞剂等药物可能会加重症状[2]。潜在的机制涉及前列腺压迫尿道,从而难以将尿液排出膀胱。[1]在排除其他可能的原因后,诊断通常基于症状和检查。[2]
治疗方案包括生活方式改变,药物治疗,一些手术和手术。[1] [2]对于症状轻微的人,建议减肥,运动和减少摄入咖啡因。[2] [4]在症状较重的患者中,药物可能包括α受体阻滞剂,如特拉唑嗪或5α-还原酶抑制剂,如非那甾胺。[1]部分前列腺的手术切除可以在那些不采取其他措施改善的人身上进行。[2]替代医学,如锯棕榈,似乎没有帮助。[2]
全球约有1.05亿人受到影响。[3] BPH通常在40岁之后开始。[1] 50岁及以上的男性中有一半受到影响。[2] 80岁以后,约90%的男性受到影响。[1]虽然前列腺特异性抗原水平可能在患有BPH的男性中升高,但这种情况并不会增加患前列腺癌的风险。[5]


BPH是下尿路症状(LUTS)的最常见原因,其分为储存,排尿和排尿后出现的症状。[6]存储症状包括需要经常排尿,夜间醒来排尿,紧迫(迫切需要无效的排尿),非自愿排尿,包括夜间非自愿排尿,或急迫性尿失禁(强烈突然需要排尿后尿漏) [7]。排尿症状包括尿痉挛(试图排尿和实际开始流量之间的延迟),间歇性(不连续),[8]排尿不自主中断,尿流不畅,过度疲劳,排空不完全感和无法控制的泄漏排尿结束后[9] [10] [11]这些症状可伴有膀胱疼痛或排尿时疼痛,称为排尿困难。[12]
BPH可引起膀胱出口梗阻(BOO)。[13]症状是腹痛,膀胱饱满感,尿频,急性尿潴留(无法排尿),排尿时疼痛(排尿困难),排尿困难(尿痉挛),尿流缓慢,起始和停止(尿间歇) )和夜尿症。
BPH可能是一种进行性疾病,特别是如果不及时治疗。不完全排尿导致残余尿液或尿淤滞,这可能导致尿路感染风险增加。[14]
大多数专家认为雄激素(睾丸激素和相关激素)在BPH的发展中起到了许多作用。这意味着必须存在雄激素才能发生BPH,但不一定直接导致该病症。有证据表明阉割的男孩在衰老时不会发生BPH。在对1960年仍然居住在北京的清朝宫殿的26位太监进行的一项不同寻常的研究中,81%的研究太监都无法感受到前列腺。[15]阉割后的平均时间为54年(范围41-65岁)。另一方面,一些研究表明,给予外源性睾酮与BPH症状风险显着增加无关,因此睾酮在前列腺癌和BPH中的作用仍不清楚。需要更多参与者的随机对照试验来量化给予外源性睾酮的任何风险。[16]
二氢睾酮(DHT)是睾酮的代谢产物,是前列腺生长的关键介质。 DHT通过5α-还原酶2的作用在循环睾酮中在前列腺中合成.DHT可以通过扩散到附近的上皮细胞中以自分泌方式作用于基质细胞或旁分泌方式。在这两种细胞类型中,DHT与核雄激素受体结合并发信号通知上皮细胞和基质细胞有丝分裂的生长因子的转录。 DHT的效力是睾酮的十倍,因为它更慢地与雄激素受体分离。临床观察结果支持DHT引起结节性增生的重要性,其中5α-还原酶的抑制剂如非那雄胺给予患有这种病症的男性。使用5α-还原酶抑制剂治疗可显着降低前列腺的DHT含量,从而减少前列腺体积和BPH症状。[17] [18]
睾酮促进前列腺细胞增殖,[19]但BPH患者血清睾酮水平相对较低[20] [21]。一项小型研究表明,医学阉割不均衡地降低血清和前列腺激素水平,对前列腺中的睾酮和二氢睾酮水平的影响较小。[22]
虽然有证据表明雌激素可能在BPH的病因中发挥作用,但这种效应似乎主要是通过雄激素局部转化为前列腺组织中的雌激素而不是雌激素本身的直接作用来实现的。[23]在犬体内研究阉割,显着降低雄激素水平,但雌激素水平不变,导致前列腺显着萎缩。[24]寻找人类前列腺增生和血清雌激素水平之间相关性的研究通常没有显示出来。[21] [25]
2008年,Gat等人。已公布的证据表明,BPH是由精索静脉引流系统失败引起的,导致静水压升高,局部睾丸激素水平升高超过血清水平100倍[26]。如果得到证实,这种机制解释了为什么血清雄激素水平似乎与BPH无关,为什么给予外源性睾酮不会产生太大影响。
研究表明饮食模式可能会影响BPH的发展,但需要进一步研究以澄清任何重要的关系。[27]来自中国的研究表明,摄入更多的蛋白质可能是BPH发展的一个因素。农村地区60岁以上的男性临床BPH发病率很低,而生活在城市且摄入更多动物蛋白的男性发病率更高[28] [29]。另一方面,一项针对夏威夷日裔美国男性的研究发现,与酒精摄入量存在强烈的负相关关系,但与牛肉摄入量呈弱相关。[30]在美国一项大型前瞻性队列研究(卫生专业人员随访研究)中,研究人员报告了BPH(BPH症状强烈或手术证实BPH的男性)与总能量和蛋白质之间的适度关联,但不是脂肪摄入量[31]。 ]还有流行病学证据表明BPH与代谢综合征(并发肥胖,葡萄糖代谢和糖尿病受损,甘油三酯水平高,低密度胆固醇水平和高血压)[32]。
良性前列腺增生是一种与年龄有关的疾病。 错误积累衰老理论[33] [34]表明,良性前列腺增生的发展是纤维化和前列腺肌肉组织减弱的结果。[35] 肌肉组织在前列腺的功能性中是重要的,并且提供用于排泄由前列腺产生的流体的力。 然而,肌纤维的反复收缩和扩张将不可避免地导致受伤和肌纤维损伤。 肌纤维具有较低的再生潜力; 因此,胶原纤维需要用来代替破碎的肌纤维。 这种错误的修复会使肌肉组织的功能变弱,腺体分泌的液体不能完全排出体外。然后,在收缩和扩张的运动过程中,腺体中的液体积聚增加了肌肉组织的抵抗力,并且越来越多的肌纤维将被破坏并被胶原纤维取代。

随着男性年龄的增长,芳香酶和5-α还原酶的活性增加。这些酶分别负责将雄激素激素转化为雌激素和二氢睾酮。雄激素激素的这种代谢导致睾酮减少但DHT和雌激素水平增加。
腺上皮细胞和基质细胞(包括肌纤维)均在BPH中发生增生[2]。大多数消息来源都认为,在两种组织中,间质增生占主导地位,但两者的确切比例尚不清楚。[36]:694
在解剖学上,由于其高度腺体组成,中间和侧向叶片通常被扩大。前叶几乎没有腺体组织,很少扩大。 (前列腺癌通常发生在后叶 - 因此能够识别每次直肠检查的不规则轮廓)。最早的BPH微观征象通常在PUG的30岁至50岁之间开始,PUG位于尿道近端[36]:694在BPH中,大部分生长发生在过渡区(TZ)。前列腺[36]:694除了这两个经典区域外,周边区域(PZ)也有较小程度的参与[36]:695前列腺癌通常发生在PZ。然而,通常来自TZ的BPH结节通常是活组织检查以排除TZ中的癌症。[36]:695
BPH的临床诊断基于LUTS(下尿路症状)的历史,直肠指检和排除其他类似体征和症状的原因。 LUTS的程度不一定对应于前列腺的大小。直肠检查后扩大的前列腺对称且光滑,支持诊断为BPH。[2]然而,如果前列腺感觉不对称,结实或结节,这引起了前列腺癌的关注。[2]
尿液分析通常在存在LUTS时进行,并且怀疑BPH评估尿路感染,尿液中的葡萄糖(提示糖尿病)或尿液中的蛋白质(提示肾脏疾病)的迹象。[2]包括肾功能检查和前列腺特异性抗原(PSA)在内的血液检查通常被命令分别评估肾脏损害和前列腺癌。[2]然而,检查前列腺癌筛查的血液PSA水平是有争议的,并不一定在每次BPH评估中都有所体现。[2]良性前列腺增生和前列腺癌都能增加血PSA水平,PSA升高无法很好地区分这两种情况。[2]如果PSA水平被检查并且很高,则需要进一步调查。 PSA密度,游离PSA,直肠检查和经直肠超声检查等措施可能有助于确定PSA增加是由BPH还是前列腺癌引起的。[2]经常进行睾丸,前列腺和肾脏的超声检查,以排除癌症和肾积水。
经验证的问卷,如美国泌尿协会症状指数(AUA-SI),国际前列腺症状评分(I-PSS),以及最近的UWIN评分(紧急,弱流,不完全排空和夜尿)是有用的问题。 BPH的诊断和量化症状的严重程度。[2] [37] [38]
LUTS的鉴别诊断范围广泛,包括各种医疗条件,神经系统疾病以及膀胱癌,尿道感染,尿道狭窄,尿道结石(结石),慢性前列腺炎和前列腺等膀胱癌,尿道和前列腺等疾病。癌症。[2]神经源性膀胱可引起尿潴留并引起类似于BPH的症状。这可能是由于膀胱肌收缩不协调或膀胱肌肉收缩和尿道括约肌松弛的时间受损所致。[2]神经源性膀胱的显着原因包括中枢神经系统疾病,如帕金森病,多发性硬化症和脊髓损伤以及周围神经系统疾病,如糖尿病,维生素B12缺乏症和酒精引起的神经损伤[ 2]受心脏衰竭影响的个体经常会因为腿部肿胀积聚的液体重新分布而经历夜间觉醒。[2]
某些药物可能会增加排尿困难,因为前列腺或膀胱颈的平滑肌张力增加导致膀胱出口阻力增加,并导致LUTS [2]。 α-肾上腺素能激动剂药物,如使用伪麻黄碱的减充血剂可增加膀胱出口阻力。[2]相反,钙通道阻滞剂和抗胆碱能药物可通过促进膀胱肌肉松弛来加重尿潴留[2]。利尿药物如袢利尿剂(如呋塞米)或噻嗪类药物(如氯噻酮)可引起或加重尿频和夜间醒来排尿。[2]

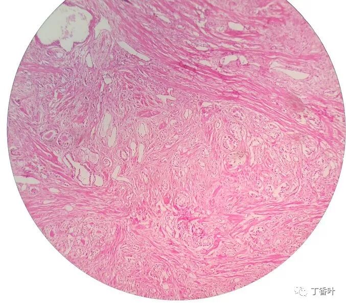
显微照片显示经尿道前列腺切除术(TURP)的前列腺结节性增生(左中心)。H&E染色。

显微镜检查不同类型的前列腺组织(用免疫组织化学技术染色):A。正常(非肿瘤)前列腺组织(NNT)。B.良性前列腺增生。C.高级前列腺上皮内瘤变(PIN)。D.前列腺腺癌(PCA)。
解决BPH症状的生活方式改变包括身体活动,[39]在睡前减少液体摄入量,减少酒精和含咖啡因产品的消耗,并遵循定时排尿时间表。患者还可以尝试避免使用可能加剧BPH尿潴留症状的抗胆碱能特性的产品和药物,包括抗组胺药,减充血剂,阿片类药物和三环类抗抑郁药;但是,药物的变化应该由医疗专业人员提供。[40]
排尿时的排尿位置可能会影响尿动力学参数(尿流率,排尿时间和排尿后残余体积)。[41]一项荟萃分析发现,健康男性的站立姿势与坐姿之间没有差异,但对于患有下尿路症状的老年男性,坐姿排尿:[42]
这种尿动力学特征与泌尿系统并发症的风险较低有关,例如膀胱炎和膀胱结石。
BPH管理的两个主要药物类别是α阻滞剂和5α-还原酶抑制剂。[43]
选择性α1受体阻滞剂是初始治疗的最常见选择。[44] [45] [46]它们包括阿夫唑嗪,[47] [48]多沙唑嗪,[49]西洛多辛,坦索罗辛和特拉唑嗪。他们有小到中等的好处。[50]所有五种都有效,但副作用略有不同。[51]阿尔法阻滞剂可以放松前列腺和膀胱颈的平滑肌,从而减少尿流的阻塞。 α受体阻滞剂的常见副作用包括直立性低血压(站立或伸展时头部冲击或头晕),射精改变,勃起功能障碍,[52]头痛,鼻塞和虚弱。
坦索罗辛和西洛多辛是选择性α1受体阻断剂,其优先结合前列腺中的α1A受体而不是血管中的α1B受体。选择性较低的α1受体阻滞剂如特拉唑嗪和多沙唑嗪可降低血压。年龄较大,选择性较低的α1-肾上腺素能阻滞剂哌唑嗪不是高血压或前列腺增生的首选;对于同时出现这两种问题的患者,它是一种选择。不建议使用较老的,广泛的非选择性α受体阻滞药物如苯氧基苯甲胺来控制BPH。[53]非选择性α受体阻滞剂如特拉唑嗪和多沙唑嗪也可能需要缓慢调整剂量,因为如果对药物的反应过强,它们可以降低血压并导致晕厥(昏厥)。
5α-还原酶抑制剂非那雄胺和度他雄胺也可用于患有BPH的男性[54]。这些药物抑制5α-还原酶,这反过来又抑制DHT的产生,DHT是一种负责扩大前列腺的激素。效果可能比α阻滞剂需要更长的时间,但它们会持续很多年。[55]当与α受体阻滞剂一起使用时,短期试验未报告有益,但在长期研究中(3 - 4年),急性尿潴留和手术的BPH进展比单独使用任何一种药物都要大,尤其是在患有更严重症状和更大前列腺的人群中[56] [57] [58]其他试验证实,在一项试验中,6个月内症状减轻,这一效果在停用α受体阻滞剂后得以维持[57] [59]。副作用包括性欲减退和射精或勃起功能障碍。[60] [61] 5α-还原酶抑制剂在孕妇中是禁忌的,因为它们由于对胎儿睾酮代谢的干扰而具有致畸性,并且作为预防措施,孕妇不应该处理压碎或破碎的药片。[62]
也可以使用诸如托特罗定的抗毒蕈碱,特别是与α阻滞剂组合使用。[63]它们通过降低乙酰胆碱对膀胱平滑肌的作用起作用,从而有助于控制膀胱过度活动症的症状。[64]
磷酸二酯酶-5抑制剂如柠檬酸西地那非显示出一些症状缓解,提示勃起功能障碍可能是常见原因[65]。 Tadalafil被认为在英国被NICE拒绝用于治疗与BPH相关的症状。[66] 2011年,美国食品和药物管理局批准他达拉非治疗良性前列腺增生的症状和体征,并在病情同时发生时治疗BPH和勃起功能障碍(ED)。[67]
间歇性导尿术用于缓解尿潴留患者的膀胱。当难以或不可能完全排空膀胱时,自我导尿是BPH的一种选择。[68]尿路感染是间歇性导尿的最常见并发症。[69]有几种技术和类型的导管可供选择,包括无菌(一次性使用)和清洁(多次使用)导管,但根据目前的信息,在降低尿路感染发生率方面没有一种优于其它导管。[70]

如果医疗无效,人们可以尝试基于办公室的治疗或经尿道前列腺切除术(TURP),可能需要进行手术。使用的外科技术包括以下内容:
开放性前列腺切除术:现在通常不进行,即使结果非常好。
经尿道前列腺切口(TUIP):很少进行;该技术类似于TURP,但不太明确。
前列腺的光选择性(激光)汽化(PVP):常见的治疗方法。
手术治疗的最新替代方案是动脉栓塞,这是一种在介入放射学中进行的血管内手术。[71]通过导管,栓塞剂在前列腺动脉的主要分支中释放,以诱导前列腺大小的减少,从而减少泌尿系统的症状。[72]
虽然常用草药,但2016年的一项检讨发现它们并不比安慰剂好。[73]锯齿棕榈提取物来自锯棕榈,虽然是最常用的一种,但在症状缓解和前列腺大小减少方面并不比安慰剂更好。[74] [75] [76]其他草药包括来自Hypoxis rooperi(非洲星草)和pygeum(从Prunus africana树皮中提取)的β-谷甾醇[77],[78]而对南瓜种子(Cucurbita pepo)和刺荨麻(Urtica dioica)根。[79]对中草药的系统评价发现,研究质量不足以表明其优于西药。[80]
2004年每10万居民中良性前列腺增生的残疾调整生命年[81]

从全球来看,截至2010年,良性前列腺增生影响了约2.1亿男性(占总人口的6%)。[82]
随着年龄的增长,大多数男性的前列腺变大。 对于无症状的46岁男性,未来30年患BPH的风险为45%。 发病率从45-49岁的每1000人年3例增加到75-79岁的每千人年38例。 虽然45-49岁男性的患病率为2.7%,但到80岁时,患病率增加到24%。[83]
『温馨提示』沧州男科医院哪家好?沧州清池医院,专业看男科,开展特色中西医男科诊疗,帮助众多男性解决男科疑难,恢复健康! 医院开设:
1、性功能诊疗(男人勃不起,疲软,早泄,阳痿等),性功能康养和治疗;
2、生殖整形/包皮包茎诊疗:价格亲民,美观整洁;
3、生殖感染诊疗(龟头红点,流脓,长疙瘩,龟头炎等生殖器问题):远离生殖感染,做健康男人;
4、前列腺病诊疗(尿频尿急尿痛,前列腺炎等):解析前列腺,告别难题 ;
5、男性不育(精液异常等):中西结合圆您孕育梦
为方便患者就医特开通“在线咨询/网上预约”绿色诊疗通道,凡网上预约成功者,优先就诊,免排队免专家挂号费。